IHA NEWS
International Latest News Videos and Photos

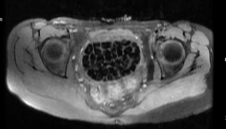
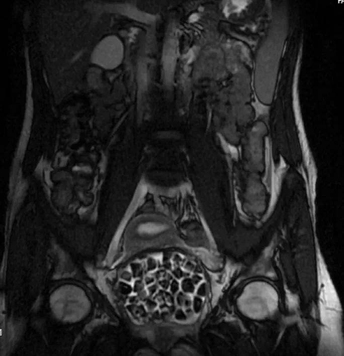
Turkish Doctors Remove 287 Stones From Young Woman

 

In Türkiye, 21-year-old Fatma Nur Öztürk underwent surgery after severe abdominal pain revealed a rare condition. Doctors discovered and removed 287 stones, the largest measuring 2.5 centimeters, from her bladder and vaginal area.

The medical team described the case as extremely rare in medical literature. Öztürk said the pain had been unbearable but added, “I feel very good now” after the operation.

 

Hasibe Karadağ – Sedat Çürük

Leave a comment

This website uses cookies to improve your experience. We'll assume you're ok with this, but you can opt-out if you wish. Accept Read More

404